傍晚时分,玉环骨伤医院急诊室人头攒动,担架车上血迹斑斑的双腿触目惊心。当成吨钢筋轰然砸下的瞬间,54岁的工人吴师傅与死神擦肩而过。这场惊心动魄的抢救背后,藏着怎样的生命博弈?又是什么力量让破碎的骨骼重获新生?

4月18日傍晚,某厂区内突然爆发的金属撞击声撕裂了平静,正在装卸钢筋的吴师傅被滑落的货物重重压住,工友们用吊车抬起钢筋时,眼前景象令人窒息,一双腿扭曲成诡异角度,森森白骨刺破工装裤,脚掌因血管断裂已呈骇人的暗褐色。

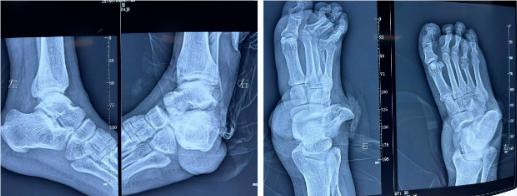
“伤者8处骨折合并9个关节脱位,开放性伤口可见肌腱断裂,足部供血系统近乎崩溃。这类多发性高能量创伤往往伴随截肢甚至死亡风险。”接诊医生回忆时仍心有余悸。医学影像显示:右胫腓骨开放性粉碎性骨折;右足多发性开放性骨折伴脱位(距骨骨折、骰骨骨折、跟骨骨折、跟距关节脱位、距舟关节脱位、跟骰关节脱位、右足1-3趾远节趾间关节及跖趾关节脱位);左胫腓骨闭合性骨折;左外踝撕脱骨折。

、
18:27分,创伤骨科王佑兴主任接到报告后,正在吃晚饭的他立马放下手中碗筷直奔急诊室,一边启动“危重症响应机制”;一边快速组建急诊手术团队。术前准备有条不紊展开,30分钟后,患者被推入手术室。由主刀王佑兴主任、助手、麻醉医师、洗手护士、巡回护士组成的7人手术团队,在王主任的统一指挥下,默契配合。无影灯下,行右小腿、右足清创;双侧胫骨骨折外固定支架固定术;右侧大隐静脉吻合术;右侧胫后肌、腓肠肌、比目鱼肌吻合术;右足跟距关节脱位、距舟关节脱位、跟骰关节脱位、右足第1-3趾趾间关节、跖趾关节脱位切开复位克氏针内固定术;双足骨筋膜室综合征切开减压术。

经过手术团队5个多小时的不懈努力,在手术接近尾声时,助理突然惊呼:“足背颜色变了,由暗褐色逐渐转为红润!”这声呼喊让所有人精神一振,说明动脉受压已解除,也意味着“保足”希望从40%跃升至90%。当最后一枚克氏针内固定完成,监护仪上规律跳动的波形宣告:这场与骨筋膜室综合征、脂肪栓塞、组织坏死、感染性休克等多重死神交锋的战役,终于迎来曙光。术后第3天,查房时吴师傅颤巍巍竖起的大拇指让所有在场医护人员瞬间泪目。康复科为他量身定制的“神经唤醒训练”正在展开,结合中医定向药透等康复疗法,预计半年后吴师傅将能重新站立。

当我们在工地或高速路上看到安全员及反光条闪烁时,当医护人员深夜狂奔在急诊通道时,那些平凡身影正在缔造着非凡的生命防线。这例多发性高能量创伤患者成功抢救,不仅展现现代创伤医学的巅峰水准,更印证在敬畏生命、职责所系下没有不可跨越的生死鸿沟。

擅长:复杂四肢与关节骨折切开复位内固定术,小儿骨折,骨盆骨折、髖臼等开放和微创手术,胸腰椎骨折切开复位内固定,经皮微创椎弓钉内固定,微创经皮穿刺椎体后凸成型术,腰椎间盘突出微创内镜下髓核摘除术,微创腰椎融合术,人工髋关节、肩关节、肘关节、膝关节置换术及骨髓炎、骨搬运和骨延长手术。专家门诊:周五上午 门诊一楼103诊室 联系电话:0576-87431111